Champignon non identifié (Coprinopsis ?)
Un champignon assez banal au premier coup d'œil, mais dont j'aimais bien les lamelles retroussées et bordées de violet.
Haute-Garonne, France
04.11.2025
Champignon non identifié (Coprinopsis ?)
Un champignon assez banal au premier coup d'œil, mais dont j'aimais bien les lamelles retroussées et bordées de violet.
Haute-Garonne, France
04.11.2025
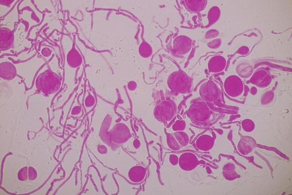
Calonectria lauri ex Ilex aquifolium
äCalonectrialauri #Calonectria #Stechpalme #holly #Houx #agrifoglio #acebo #mushroom #mushrooms #fungus #fungi #pilz #pilze #champignons #champignon #nature #natur #FungiFriends
Sortie dominicale en forêt de Châteauroux, une quinzaine de kilomètres parcourus.
Quelques champignons aperçus mais pas de comestibles !
