Another reason why you really can't beat yourself up over mistakes in the past -
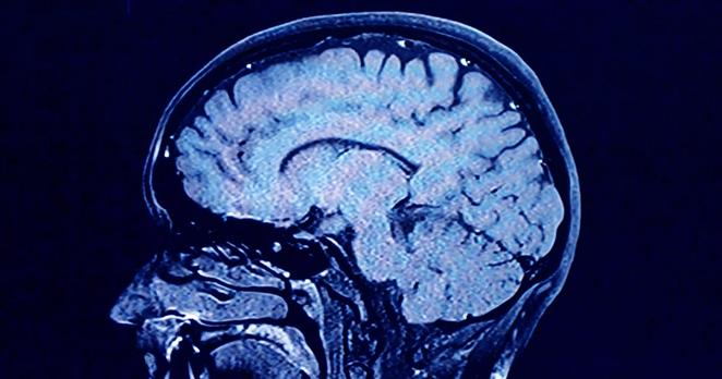
Human #brains have 5 distinct 'epochs' in a lifetime, study finds https://www.nbcnews.com/science/science-news/human-brains-5-epochs-development-rcna245663
#braindevelopment #research #neuroimaging #neuralnetwork #mentalhealth #brainarchitecture








